|
|
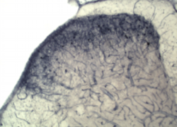
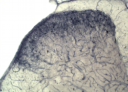
| 分子生体機能学研究室のホームページへようこそ! 分子生体機能学研究室では、痛みの分子メカニズムの解明に取り組んでいます。 大阪工業大学工学部生命工学科 |
![]()
|
2026.3.25
|
大学院生 西村さんが修士論文の最優秀発表賞、島村さんが優秀発表賞を受賞しました。また、藤本さんが卒業研究の優秀発表賞を受賞しました。
|
|---|---|
|
2026.1.10
|
|
|
2025.11.29
|
第6回エーラス・ダンロス症候群研究会で大学院生西村さん, 山本さんが発表しました。
|
|
2025.11.3-5
|
第98回日本生化学会大会(京都)で大学院生 山本さんが発表しました。
|
|
2025.8.30-9.1
|
日本生物高分子学会(大阪工業大学で開催)で大学院生 西村さん, 山本さんが発表しました。
|
|
2025.8.19
|
大阪・関西万博 ヘルスケアパビリオン リボーンステージ にて、大学の智のとびらを開くー未来社会の可能性ー 「生活習慣病の治療薬と予防の未来を見てみよう」で研究を紹介しました。
|
|
2025.6.13-15
|
第25回日本抗加齢医学会総会(大阪)で共同研究企業 相生先生が発表しました。
|
|
2025.5.24
|
第71回日本生化学会近畿支部例会(和歌山)で大学院生 西村さん, 共同研究企業 相生先生が発表しました。
|
|
2025.3.19
|
橋本さんが修士論文の優秀発表賞、藤川さんが卒業研究の優秀発表賞を受賞しました。
|
|
2024.12.6-8
|
第49回日本研究皮膚科学会学術大会(愛知)で共同研究企業 相生先生が発表しました。
|
|
2024.11.30
|
第5回エーラス・ダンロス症候群研究会で大学院生西村さん, 山本さん, 芦高が発表しました。
|
|
2024.11.8
|
奈良県立医科大学 医学部医学科 解剖学第2講座 和中明生教授、田中達英講師らとの共同研究が Scientific Reports に掲載されました。
|
|
2024.11.6-8
|
第97回日本生化学会大会(横浜)で大学院生 山本さん, 福山さんが発表しました。
|
|
2024.8.24-25
|
日本生物高分子学会(東京)で大学院生 山本さん、福山さんが発表しました。
|
|
2024.6.15-16
|
第56回日本結合組織学会学術大会(つくば)で芦高が発表しました。
|
|
2024.5.31-6.2
|
第24回日本抗加齢医学会総会(熊本)で共同研究企業 相生先生が発表しました。
|
|
2024.5.25
|
第70回日本生化学会近畿支部例会(吹田)で大学院生 山本さん、共同研究企業 相生先生が発表しました。
|
|
2024.3.26
|
藤田医科大学 医科学研究センター システム医科学研究部門 宮川剛教授、萩原英雄講師らとの共同研究が eLife に掲載されました。
|
|
2024.3.22
|
江村さんが修士論文の最優秀発表賞、西村さんが卒業研究の優秀発表賞を受賞しました。
|
|
2023.12.16
|
神戸薬科大学大学院講義で「難治性神経障害性疼痛に挑む」を芦高が講演しました。
|
|
2023.12.2
|
第4回エーラス・ダンロス症候群研究会で大学院生江村さん, 山本さんが発表しました。
|
|
2023.10.31
|
第96回日本生化学会大会(福岡)で大学院生 江村さん, 山本さんが発表しました。
|
|
2023.10.28
|
エーラス・ダンロス症候群原因遺伝子テネイシンX欠損の慢性疼痛に有髄神経の応答過敏が関与する論文が Scientific Reports に掲載されました。
|
|
2023.9.3
|
日本生物高分子学会(京都)で原さんが発表しました。
|
|
2023.6.24-25
|
第55回日本結合組織学会学術大会(岡山)で芦高が発表しました。
|
|
2023.6.22
|
産業技術総合研究所で「エーラス・ダンロス症候群の疼痛メカニズムと治療薬の開発」を芦高が講演しました。
|
|
2023.5.27
|
第69回日本生化学会近畿支部例会(京都)で大学院生 江村さん, 山本さんが発表しました。
|
|
2023.4.13
|
関西学院大学生命科学セミナー「難治性神経障害性疼痛に挑む」を芦高が講演しました。
|
|
2023.3.22
|
山本君が卒業研究の優秀発表賞を受賞しました。
|
|
2023.3.15
|
エーラス・ダンロス症候群の疼痛に関する論文が Frontiers in Genetics に掲載されました。
|
|
2022.11.26
|
第3回エーラス・ダンロス症候群研究会で大学院生の江村さんが発表しました。
|
|
2022.11.10
|
第95回日本生化学会大会(名古屋)で大学院生の江村さんが発表しました。
|
|
2022.10.4-31
|
イノベーションジャパン2022(オンライン)に芦高が出展しました。
|
|
2022.7.9
|
「かまいたちの机上の空論城」で、机上の空論「100mダッシュのあとにビンタされたら痛みをあんまり感じない!・・・ハズ」について芦高が痛みを抑制する仕組みを解説
|
|
2022.6.30
|
Neuro2022 (第45回日本神経科学大会、第65回日本神経科学会大会、第32回日本神経回路学会大会、沖縄) で芦高が発表しました。
|
|
2022.5.28
|
第68回日本生化学会近畿支部例会(草津)で鎌田さんが発表しました。
|
|
2022.3.30
|
JST SCORE大学推進型「DEMO DAY2022」で芦高が発表しました。
|
|
2022.3.22
|
脇地君と鎌田君が修士論文の優秀発表賞、江村さんが卒業研究の優秀発表賞を受賞しました。
|
|
2022.3.10
|
生命工学科研究成果発表会で芦高、脇地さんと鎌田さんが発表しました。
|
|
2021.12.18
|
日本生物高分子学会(京都)で川越さん、大学院生の鎌田さん、脇地さん、原さんが発表しました。
|
|
2021.12.11
|
第2回エーラス・ダンロス症候群研究会で大学院生の鎌田さんが発表しました。
|
|
2021.3.19
|
川越さんが修士論文公聴会の優秀発表賞、立川さんが卒業研究の優秀発表賞を受賞しました。
|
|
2020.12.12
|
第1回エーラス・ダンロス症候群研究会で芦高と大学院生の鎌田さんが発表しました。
|
|
2020.9.19-20
|
第52回日本結合組織学会学術大会で芦高が発表しました。
|
|
2020.7.29-8.1
|
第43回日本神経科学大会で大学院生の鎌田さんが発表しました。
|
|
2020.8.20
|
エーラス・ダンロス症候群の慢性疼痛に関する研究が 遺伝性疾患プラスで取りあげられました。
|
|
2020.6.9
|
エーラス・ダンロス症候群の慢性疼痛に関する研究が QLifePro 医療Newsで取りあげられました。
|
|
2020.6.4
|
エーラス・ダンロス症候群の慢性疼痛に関する研究をニュースリリースしました。
|
|
2020.4.16
|
エーラス・ダンロス症候群の原因遺伝子テネイシンX欠損の慢性疼痛に関する論文が Scientific Reports に掲載されました。
|
|
2020.3.20
|
小西君が修士論文の優秀発表賞、鎌田さんが卒業研究の優秀発表賞を受賞しました。
|
|
2019.12.3-6
|
第42回日本分子生物学会(福岡)で大学院生の小西さんが発表しました。
|
|
2019.11.18-19
|
Scientific Meeting Rarer Type of EDS (Tokyo)で芦高が講演しました。
|
|
2019.8.27-10.31
|
海外研究支援プログラムとして、大学院生の川越さんがカナダのウエスタン大学でストレスの神経回路の研究に携わりました。
|
|
2019.8.9
|
和歌山県立医科大学眼科学講座講演「細胞外マトリックスと神経再生・疼痛メカニズムの接点」を芦高が講演しました。
|
|
2019.8.2
|
第18回日本生化学会近畿支部テクニカルセミナー「抗体医薬のイロハ:ノーベル賞で脚光を浴びた新技術」(京都)を 芦高が共同企画し開催しました。
|
|
2019.7.25-28
|
Neuro2019(第42回日本神経科学大会、第62回日本神経科学会大会、新潟)で芦高が発表しました。
|
|
2019.5.25
|
第66回日本生化学会近畿支部例会(京都)で角地さんが発表しました。
|
|
2019.3.20
|
角地さんが卒業研究の優秀発表賞を受賞しました。
|
|
2018.12.17
|
大学院生の小西さんが工学部長表彰を受けました。
|
|
2018.9.16-17
|
日本生物高分子学会2018年度大会(京都)で芦高が研究を発表しました。
|
|
2018.9.3-10.31
|
海外研究支援プログラムとして、大学院生の小西さんがタイのウィタヤシリメティー科学技術大学院大学(VISTEC)で研究に携わりました。
|
|
2018.8.29-30
|
イノベーションジャパン2018(東京)に芦高が出展しました。
|
|
2018.7.2
|
芦高がBiochemistry, Molecular Biology, and Geneticsを翻訳し、カラーコア生化学として出版されました。
|
|
2018.5.26
|
第65回日本生化学会近畿支部例会(西宮)で大学院生の小西さんが発表し、優秀発表賞を受賞しました。
|
|
2018.5.4
|
ノシスタチンのフォトアフィニティーに関する論文が Biochem Biophys Res Commun に掲載されました。
|
|
2018.3.20
|
杉本君が修士論文の優秀発表賞、山西さんが卒業研究の優秀発表賞を受賞しました。
|
|
2017.12.6-9
|
2017年度生命科学系学会合同年次大会 (第40回日本分子生物学年会, 第90回日本生化学大会, 神戸)で大学院生の原田さんと杉本さんが発表しました。
|
|
2017.11.10-15
|
Neuroscience2017(第47回北米神経科学会、ワシントンDC)で大学院生の杉本さん、原田さんと芦高が発表しました。
|
|
2017.9.8-9
|
日本生物高分子学会2017年度大会(草津)で大学院生の藤原さんと4回生の中村さんと今村さんの研究を発表しました。
|
|
2017.3.18
|
竹内さんが修士論文の優秀発表賞、田名後さんが卒業研究の優秀発表賞を受賞しました。
|
|
2017.2.10
|
糖尿病性神経因性疼痛の分子メカニズムの総説がBioClinicaに掲載されました。表紙の図にも採用されました。
|
|
2016.12.21
|
生命工学科研究室対抗第6回ボーリング大会優勝 2連覇達成!!
|
|
2016.12.1
|
第39回日本分子生物学会年会(横浜)で大学院生の松岡さんが発表しました。
|
|
2016.9.26-30
|
16th World Congress on Pain(国際疼痛学会 IASP、横浜)で芦高が発表しました。
|
|
2016.9.9-10
|
日本生物高分子学会2016年度大会で大学院生の竹内さんと杉本さんが発表しました。
|
|
2016.7.9-9.10
|
海外研究支援プログラムとして、大学院生の原田さんがカナダのウエスタン大学でストレスの神経回路の研究に携わりました。
|
|
2016.5.5
|
ノシセプチンのアロディニア発症メカニズムに関する論文が Eur J Neurosci に掲載されました。
|
|
2016.3.19
|
大野さんと川端さんが修士論文の優秀発表賞、原田さんが卒業研究の優秀発表賞を受賞しました。
|
|
2016.3.10
|
ノシスタチン結合タンパク質(NIPSNAP1)の炎症性疼痛との関連の論文が Mol pain に掲載されました。
|
|
2015.12.21
|
生命工学科研究室対抗第5回ボーリング大会優勝!!
|
|
2015.12.2
|
第88回日本生化学会大会・第38回日本分子生物学会年会合同大会(神戸)で大学院生の大野さんと川端君が発表しました。
|
|
2015.10.17-21
|
Neuroscience2015(第45回北米神経科学会、シカゴ)で大学院生の大野さんと芦高が発表しました。
|
|
2015.9.19-20
|
日本生物高分子学会2015年度大会(香川)で大学院生の大野さん、川上さん、蒔田さん、竹内さんが発表しました。
|
|
2015.7.17-8.17
|
海外研究支援プログラムとして、大学院生の竹内さんと松岡さんが米国ミズーリ大学生命科学センターでiPS研究に携わりました。
|
|
2015.5.16
|
第62回日本生化学会近畿支部例会(滋賀)で大学院生の大野さんと松岡さんが発表しました。
|
|
2015.3.20
|
竹内さんが卒業研究の優秀発表賞を受賞しました。
|
|
2015.2.19
|
研究室のホームページを立ち上げました。
|
|
2015.2.9
|
ノシスタチン研究の英文総説がCurrent Pharmaceutical Designに掲載されました。
|
|
2015.1.15
|
ノシスタチン受容体に関する研究を英文の著書(Vitamin & Hormones, Nociceptin Opioid)にまとめました。
|
|
2014.11.16
|
国際ワークショップ 「International Workshop on Biomedical Engineering at OIT」で大学院生の大野さんと川端さんが発表しました。
|
|
2014.10.16
|
第87回日本生化学会大会(京都)で大学院生の川端さんが発表しました。
|
|
2014.7.20-8.31
|
海外研究支援プログラムとして、大学院生の大野さんと蒔田さんが米国ミズーリ大学生命科学センターで神経疾患のiPS研究に携わりました。
|
|
2014.6.16
|
芦高が東京医科歯科大学にて「痛みの生化学」の講演を行いました。
|
|
2014.5.24
|
チーム名「サンプラザ芦高研」
|
|
2014.5.17
|
第61回日本生化学会近畿支部例会(京都)で大学院生の大野さんと川端さんが発表しました。
|
|
2014.3.22
|
大野さんが卒業研究の優秀発表賞を受賞しました。
|
|
2014.3.17
|
関西医大眼科大学院生津田先生と医化学講座伊藤教授らとの共同研究が J Clin Exp Ophthalmol に掲載されました。
|
|
2013.10.19-20
|
日本生物高分子学会2013年度大会を常翔学園「大阪センター」で開催しました。
研究室の皆さんご苦労様でした。大学院生の松山さんと岡本さんは発表もしました。
|
|
2013.9.11
|
第86回日本生化学会大会(横浜)で大学院生の岡本さんと松山さんが発表しました。
|
|
2013.5.18
|
第60回日本生化学会近畿支部例会(大阪)で大学院生の岡本さんと松山さんが発表しました。
|
|
2013.3.23
|
西村さんが卒業研究の優秀発表賞を受賞しました。
|
|
2012.12.15
|
第85回日本生化学会大会(福岡)で大学院生の岡本さんと松山さんが発表しました。
|
|
2012.12.6
|
イノベーション関西で芦高が「分泌型一分子内BRETシステムを用いた細胞内機能の解析」について発表しました。
|
|
2012.5.19
|
第59回日本生化学会近畿支部例会(京都)で大学院生の松山さんが発表しました。
|
|
2012.3.23
|
松山君が卒業研究の優秀発表賞を受賞しました。
|
|
2012.2.6
|
ノシスタチン結合タンパク質に関する論文が J Biol Chem に掲載されました。
|
|
2011.12.16
|
生命工学科研究室対抗第1回ボーリング大会優勝!!
|
|
2011.9.23
|
第84回日本生化学会大会(京都)で芦高が発表しました。
|
|
2011.5.21
|
第58回日本生化学会近畿支部例会(大阪)で芦高が発表しました。
|
|
2011.3.17
|
関西医大眼科大学院生大中先生と伊藤教授らとの共同研究が Invest Ophthalmol Vis Sci に掲載されました。
|
|
2011.2.1
|
関西医大医化学講座伊藤教授らとの共同研究が Glia に掲載されました。
|
|
2010.10.27
|
関西医大医化学講座伊藤教授らとの共同研究が Neuroscience に掲載されました。
|
|
2010.8.16
|
関西医大医化学講座伊藤教授らとの共同研究が Eur J Neurosci に掲載されました。
|
|
2010.6.19
|
芦高が第57回バイオメイクフォーラム21研究会のシンポジウムにて「分子イメージングによる痛みの制御機構の解明」の講演を行いました。
|
|
2010.4.1
|
大学院生1名 4年生3名で研究室をスタートしました。
|
HOME

